Wurzelkanalbehandlung – Ein wichtiger Schritt für Ihre Zahngesundheit
Bei Zahnmedizin Luzern setzen wir uns mit Fachwissen und Sorgfalt für die Erhaltung Ihrer natürlichen Zähne ein. Die Wurzelkanalbehandlung spielt hierbei eine entscheidende Rolle.
Warum ist eine Wurzelkanalbehandlung notwendig?
Die Wurzelkanalbehandlung wird erforderlich, wenn das innere Gewebe des Zahnes, das sogenannte Pulpa, infiziert oder entzündet ist. Unbehandelt führt dies zu Schmerzen und kann zum Zahnverlust führen.

Unser Ansatz bei Zahnmedizin Luzern
Mit modernster Technik und umfangreicher Erfahrung gewährleisten unsere Spezialisten eine präzise und effektive Wurzelkanalbehandlung.
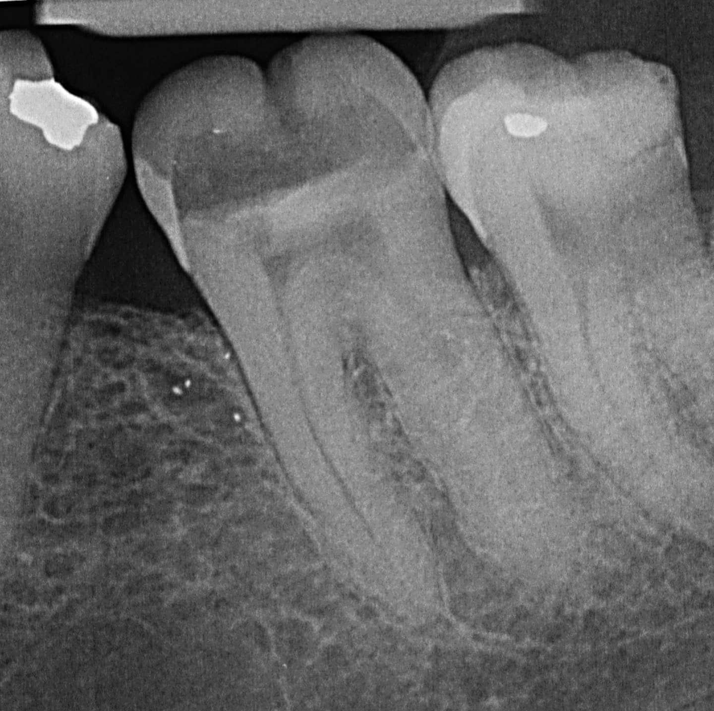
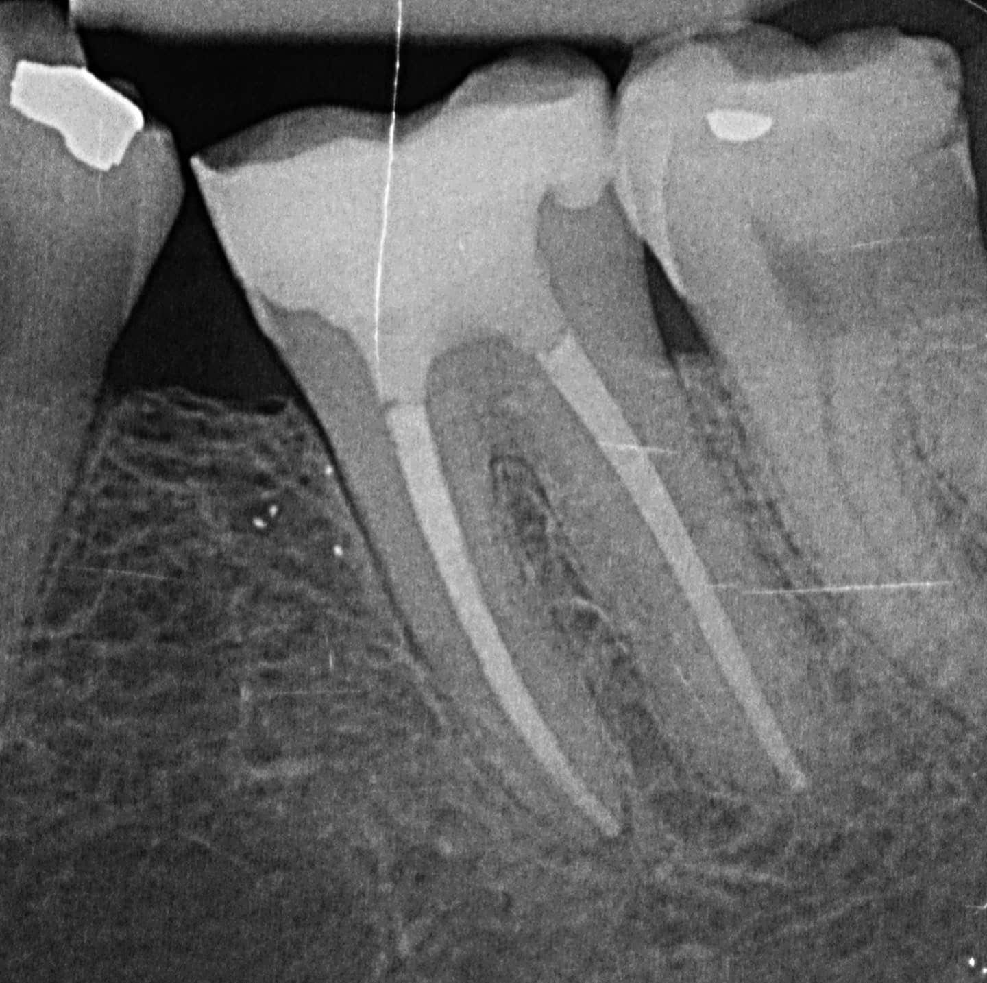
Karies frühzeitig entdecken, damit sie den Nerven nicht beschädigt
Unsere Schwerpunkte in der Wurzelkanalbehandlung
Moderne Diagnose- und Behandlungsverfahren: Einsatz digitaler Röntgentechnologie und elektrischer Längenmessung für genaue Diagnosen und erfolgreiche Behandlungschancen.
Schmerzarme Therapie: Minimierung von Unbehagen und Schmerzen während der Behandlung.
Erhaltung des Zahnes: Fokus auf die Rettung und Wiederherstellung des natürlichen Zahnes.
Individuelle Weiterbehandlung: Bei entsprechender Symtomlosigkeit wird je nach Ausmass der Defektgrösse eine Rekonstruktion mit Porzellan empfohlen, um den Zahn längst möglich zu erhalten und einer Fraktur vorzubeugen.
Vorbeugende Massnahmen und Tipps
Regelmässige Röntgendiagnostik kann dabei helfen, einer Wurzelkanalbehandlung vorzubeugen. Hierbei wird die Suffizienz vorhandener Restaurationen sowie die Kariesprogredienz beurteilt.
Zahnmedizin Luzern: Ihr Partner für Wurzelkanalbehandlungen
In unserer Praxis vereinen wir Fachwissen, Erfahrung und Leidenschaft, um Ihnen das Lächeln zu schenken, das Sie sich immer gewünscht haben. Unsere modernen Verfahren und individuell abgestimmten Behandlungspläne gewährleisten beste Ergebnisse für jeden Patienten.