Ästhetik und moderne Zahnbehandlungen bei Zahnmedizin Luzern
Ein gesundes, strahlendes Lächeln kann Ihr Selbstbewusstsein stärken und Ihr gesamtes Erscheinungsbild verbessern. In unserer Praxis Zahnmedizin Luzern setzen wir auf modernste Technologien und Behandlungsmethoden, um Ihnen nicht nur gesunde, sondern auch ästhetisch ansprechende Zähne zu schenken.
Wir sind Ihr Partner für ästhetische Zahnmedizin.
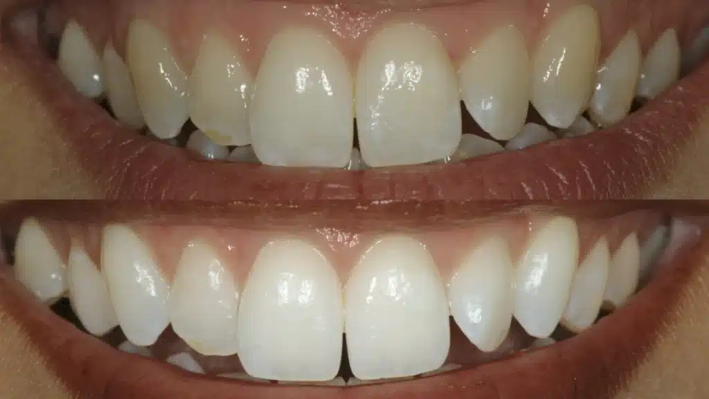
Bleaching / Zahnaufhellung
Ein strahlend weisses Lächeln
Warum bleichen? Lebensmittel, Getränke und der natürliche Alterungsprozess können die Farbe unserer Zähne verändern. Eine professionelle Zahnaufhellung kann dieses natürliche Zahnweiss wiederherstellen.
Unser Ansatz: Wir nutzen sichere und effektive Bleichmethoden, die individuell auf Sie abgestimmt sind, um optimale Ergebnisse zu erzielen.
Zahnfarbene Füllungen
Kosmetische Restaurationen
Langlebig & sicher: Unsere Füllungen bieten Schutz vor Karies und sind für den Körper unbedenklich.
Zahnfleischkorrekturen
Harmonie zwischen Rot und Weiss
Ein ausgewogenes Verhältnis von Zahn und Zahnfleisch ist entscheidend für ein ästhetisches Lächeln. Unsere spezialisierten chirurgischen Verfahren korrigieren Zahnfleischprobleme und sorgen für eine harmonische Zahnfleischlinie.
Schonende Verfahren: Modernste Techniken ermöglichen ein minimalinvasives operatives Vorgehen mit natürlichem Ergebnis.
Invisalign Zahnkorrekturen
Die unauffällige Zahnspange
Kieferorthopädische Korrekturen müssen nicht auffällig sein. Mit unsichtbaren Zahnspangen können wir Fehlstellungen Ihrer Zähne korrigieren, ohne dass es jemand bemerkt.
Zahnschmuck
Ein Hauch von Glamour
Möchten Sie Ihrem Lächeln einen besonderen Akzent verleihen? Mit unserem Zahnschmuck können Sie Ihre Persönlichkeit zum Ausdruck und Ihr Lächeln zum Funkeln bringen.
Einfach & reversibel: Unser Zahnschmuck lässt sich leicht anbringen und bei Bedarf spurlos entfernen.
Zahnmedizin Luzern: Ihr Partner für ästhetische Zahnmedizin
In unserer Praxis vereinen wir Fachwissen, Erfahrung und Leidenschaft um Ihnen das Lächeln zu schenken, dass Sie sich immer gewünscht haben. Unsere modernen Verfahren und individuell abgestimmten Behandlungspläne gewährleisten beste Ergebnisse für jeden Patienten.
Vereinbaren Sie einen Termin und entdecken Sie die Möglichkeiten der ästhetischen Zahnmedizin bei Zahnmedizin Luzern.