Füllungstherapie
Sind bereits tiefere Zahndefekte vorhanden, müssen kariöse Stellen entfernt werden. Nach der Entfernung der erkrankten Zahnhartsubstanz wird der Zahn mit einem plastischen Füllungsmaterial direkt gefüllt. Mit Hilfe der Anwendung moderner Hochleistungskomposite können Materialschrumpfung reduziert und die Langlebigkeit gesteigert werden, sodass lediglich die Grösse des Defekts beeinflusst, ob der Defekt indirekt mit einer laborgefertigten Restauration versorgt werden muss. Hierbei nehmen wir uns in jeder Hinsicht Zeit, um beim Schichten mit Hilfenahme verschiedener Zahnfarben das Original naturgetreu wiederherzustellen.
Mit Hilfe von klassischen Abdrücken oder intraoralen digitalen Scans Ihrer Kiefer können wir individuell indirekte Restaurationen aus Vollkeramik fertigen.
Dabei legen wir besonderen Wert auf stabile und optisch ansprechende Versorgung.

ICON - Füllung ohne Bohren
Icon Proximal ist eine fortschrittliche zahnmedizinische Behandlung, die eine sanfte und minimalinvasive Alternative zum herkömmlichen Bohren bei der Kariesbehandlung bietet.
Diese innovative Methode verwendet einen hochflüssigen Kunststoff zur mikroinvasiven Infiltration, um die Progression von Karies in ihren frühen Stadien effektiv zu stoppen, ohne unnötigen Verlust von gesundem Zahngewebe. Der Prozess ist besonders vorteilhaft in schwer zugänglichen Bereichen wie den Zwischenzahnräumen.
Die Hauptvorteile von Icon umfassen:
- Früher Kariesstopp: Gezielte Behandlung von Karies in einem frühen Stadium, besonders in schwer zugänglichen Zwischenzahnbereichen.
- Nicht-invasive Behandlung: Ein sanftes, mikroinvasives Verfahren, das gesunde Zahnsubstanz erhält und die Lebensdauer des Zahns verlängert.
- Komfort für Patienten: Die Behandlung ist komfortabel, erfordert keine Anästhesie und kein Bohren.
- Fluoroseflecken und Whitespots: Lassen sich je nach Schweregrad kaschieren oder entfernen.

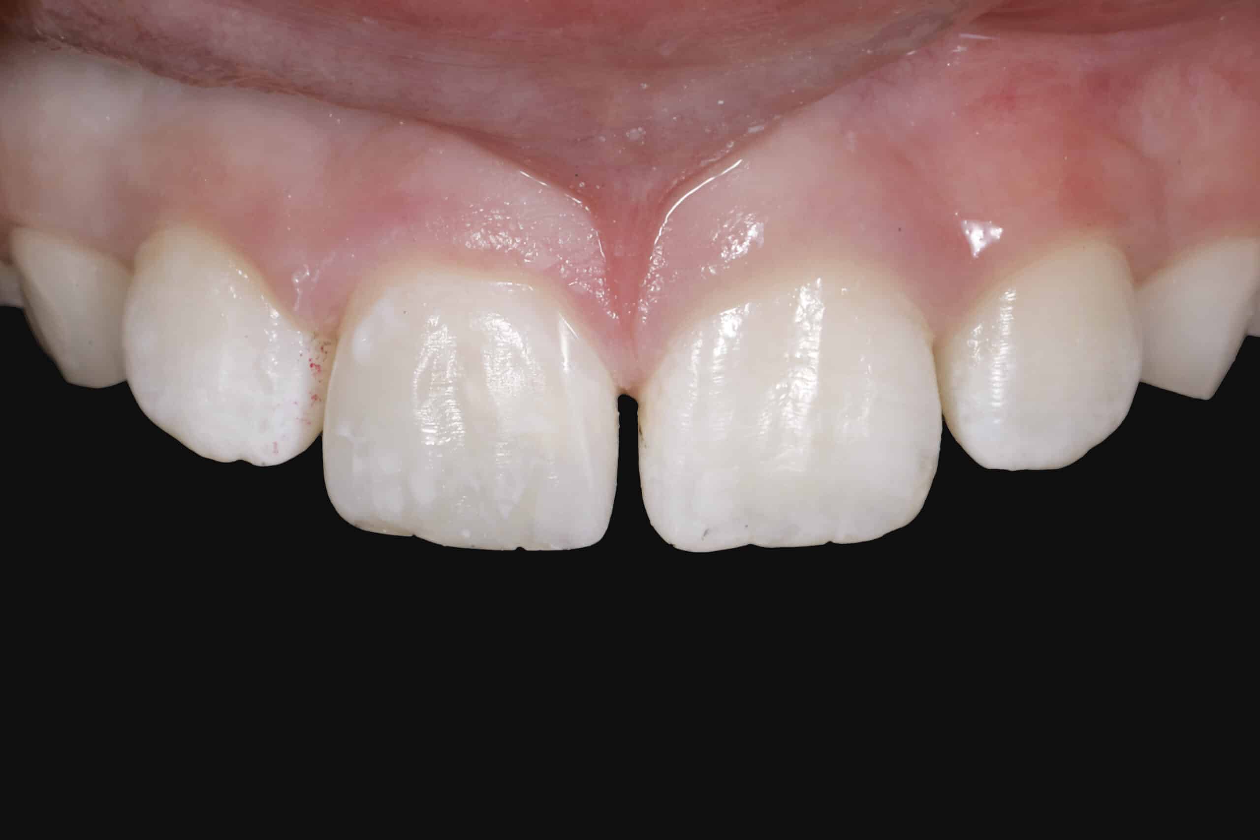
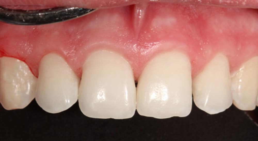
ICON – Behandlung der Fluorose-Flecken von den Zähnen 13-23 vorher und nachher im Vergleich
Ihre Vorteile bei Zahnmedizin Luzern
Bereit für eine Veränderung
Kontaktieren Sie uns noch heute, um einen Termin für Ihren ersten Besuch zu vereinbaren und den ersten Schritt zu einer lebenslangen Zahngesundheit zu machen.