Rekonstruktive Zahnmedizin bei Zahnmedizin Luzern:
Ihr Weg zu einem Neuen Lächeln
Herzlich Willkommen bei Zahnmedizin Luzern, der führenden Adresse für rekonstruktive Zahnmedizin in der Region. Rekonstruktive Eingriffe sind essenziell für Patienten, die unter komplexen Zahn- und Kieferproblemen leiden, die die Funktionalität und Ästhetik beeinträchtigen. Unsere Experten sind bestens geschult und setzen modernste Technologien ein, um Ihre Mundgesundheit wiederherzustellen.
Was ist Rekonstruktive Zahnmedizin?
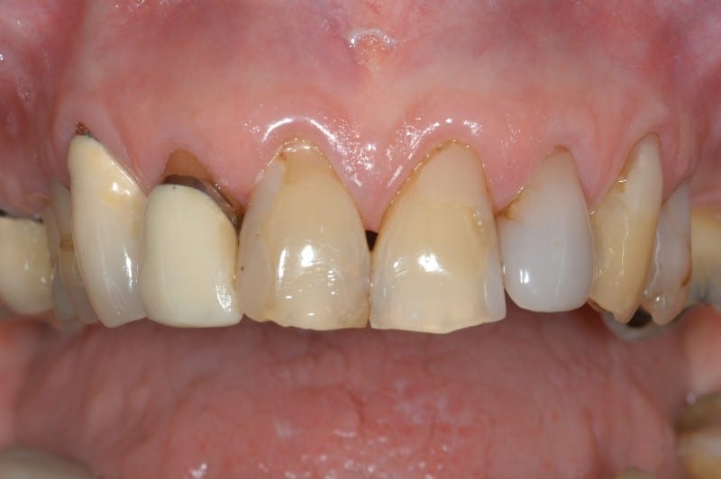
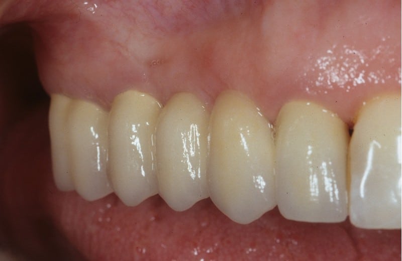
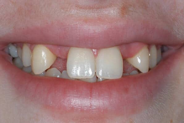
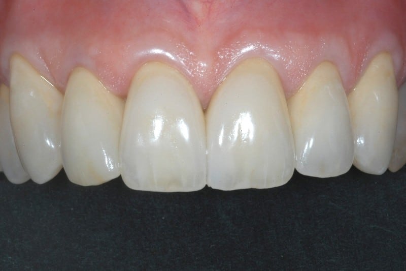
Rekonstruktive Zahnmedizin beinhaltet ein umfassendes Spektrum an Behandlungen, die sich nicht nur auf die Korrektur von beschädigten, fehlenden oder fehlgestellten Zähnen konzentrieren, sondern auch auf die Wiederherstellung der Integrität von Zahnfleisch, Knochenstruktur und ästhetischer Harmonie des gesamten Mundbereichs. Die rekonstruktive Zahnmedizin zielt darauf ab, sowohl die Funktionalität als auch das Erscheinungsbild des Mundes ganzheitlich zu verbessern.
Diese können unter anderem sein:
Onlays
Onlays sind hochpräzise, individuell angefertigte Füllungen, die für stark beschädigte Zähne verwendet werden. Sie überdecken nicht nur die Kaufläche, sondern auch einen oder mehrere Höcker des Zahns. Dies macht sie ideal für umfangreichere Reparaturen, bei denen herkömmliche Füllungen nicht ausreichen.
Veneers

Veneers sind dünne, massgefertigte Überzüge, die auf die Vorderseite der Zähne aufgetragen werden. Sie sind eine hervorragende Lösung für verschiedene kosmetische Probleme wie Verfärbungen, leichte Fehlstellungen, Risse oder Abnutzungen. Veneers sind langlebig, widerstandsfähig und bieten ein natürlich aussehendes Ergebnis, das sich harmonisch in das natürliche Zahnweiss einfügt.
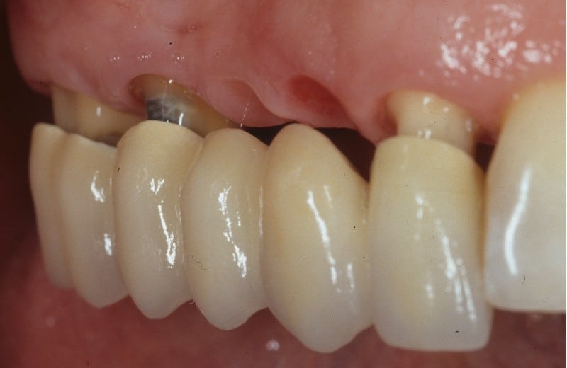
Kronen

Zahnkronen sind individuell gestaltete Überkronungen, die einen beschädigten oder stark abgenutzten Zahn vollständig umschliessen. Sie werden eingesetzt, um die Struktur, Funktion und das Aussehen des Zahns nach umfangreichen Kariesbehandlungen oder Wurzelkanaltherapien zu erhalten. Kronen bieten eine dauerhafte Lösung, die sowohl stabil als auch ästhetisch ansprechend ist.
Brücken


Sind mehrere Kronen miteinander verbunden, sprechen wir von einer Brücke. Brücken sind fest eingesetzt und können von den Patienten nicht herausgenommen werden. Mit Brücken werden meistens gleichzeitig Zahnlücken wieder geschlossen. Zahnlücken können auch mit Implantaten wieder gefüllt werden.
Für beide Lösungen gibt es verschiedene Argumente die dafür oder dagegen sprechen. Welche Behandlung bei Ihnen in Frage kommt, hängt von vielen Faktoren ab und lässt sich nach einer Untersuchung und einem persönlichen Gespräch eruieren. Die Übersicht über alle Behandlungsmöglichkeiten ist unsere Stärke.
Adhäsive Flieger

Mit dieser innovativen Methode lassen sich künstliche Zähne in eine Zahnlücke kleben. Der fehlende Zahn wird so ersetzt, ohne dass der benachbarte Zahn abgeschliffen werden muss.
Diese Methode ist technisch anspruchsvoll und verlangt ein spezielles Können. Es lassen sich sehr schöne ästhetische Resultate erzielen unter Verwendung von reinem Porzellan. Die Kosten sind geringer gegenüber Implantaten oder Brücken. Auch hier beraten wir Sie gerne, welche Lösung in Ihrem Fall die geeignetste ist. Herr Dr. Eppenberger hat seine Doktorarbeit über Adhäsivbrücken geschrieben.
Moderne digitale Abdrucknahme
Mit Hilfe der digitalen Abdrucknahme können wir auf die unangenehme konventionelle Abformung verzichten und Ihnen deutlich mehr Behandlungskomfort bieten, ohne auf die traditionelle und präzise Fertigung von hochwertigen Zahnersatz zu verzichten.
Wann ist eine rekonstruktive Behandlung notwendig?
Grossflächige kariöse Läsionen oder Zahnfleischerkrankungen
Kieferprobleme, die die Kaufunktion beeinträchtigen
Ästhetische Beeinträchtigungen, die das Selbstvertrauen mindern
Warum Zahnmedizin Luzern für Rekonstruktive Eingriffe wählen?
Vereinbaren Sie einen Termin
Ein gesundes Lächeln ist nur einen Klick entfernt. Kontaktieren Sie uns noch heute, um einen Beratungstermin zu vereinbaren. Bei Zahnmedizin Luzern sind wir bestrebt, Ihnen die beste rekonstruktive zahnmedizinische Versorgung zu bieten, damit Sie mit Selbstvertrauen lächeln können.