CEREC und Amalgamersatz bei Zahnmedizin Luzern:
Moderne Lösungen für dauerhafte Zahngesundheit
In der heutigen schnelllebigen Zeit erfordert die Zahnmedizin innovative Ansätze, um Patienten effiziente und hochwertige Behandlungen zu bieten. Bei Zahnmedizin Luzern sind wir stolz darauf, fortschrittliche Technologien wie CEREC und sichere Alternativen zum traditionellen Amalgam anzubieten.
Rekonstruktive Zahnmedizin mit CEREC und Amalgamersatz
CEREC
Hochmoderne Zahnrestaurationen in nur einem Besuch
CEREC steht für CEramic REConstruction und revolutioniert die zahnärztliche Restaurationstechnologie. Was früher mehrere Termine und ein temporäres Provisorium erforderte, ist heute in nur einem einzigen Besuch möglich. Die Vorteile von CEREC sind:
- Präzision: Digitale Abdrücke eliminieren die Notwendigkeit für traditionelle Abformmassen und gewährleisten eine perfekte Passgenauigkeit.
- Ästhetik: Hochwertige Keramikrestaurationen, die natürlich aussehen und sich so anfühlen.
- Langlebigkeit: Dank modernster Materialien und Techniken sind CEREC-Restaurationen äusserst haltbar.
Amalgamersatz
Während Amalgam jahrzehntelang das Hauptmaterial für Zahnfüllungen war, suchen viele Patienten heute nach ästhetisch ansprechenderen und ungiftigen Alternativen. Bei Zahnmedizin Luzern bieten wir:
- Langlebigkeit: Unsere Amalgamalternativen sind robust und bieten einen dauerhaften Schutz gegen Karies.
- Ästhetik: Wir bieten zahnfarbene Füllungen, die nahtlos mit Ihrem natürlichen Zahn verschmelzen.
- Schnelligkeit: eine Mehrschicht-Kompositrestauration in nur einer Sitzung.
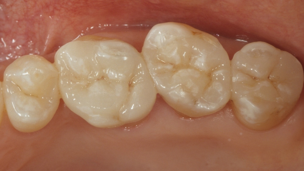
CEREC und Amalgamfüllung im Vergleich

Zahnmedizin Luzern: Ihr Partner für moderne Zahnheilkunde
Ob Sie sich für die CEREC-Technologie interessieren oder Amalgamfüllungen ersetzen möchten, unser Team bietet Ihnen die bestmögliche Betreuung. Wir setzen uns dafür ein, Ihnen nicht nur ein schönes Lächeln zu schenken, sondern auch Ihre allgemeine Mundgesundheit zu erhalten.
Ihre Reise zur Zahngesundheit beginnt hier
Vereinbaren Sie noch heute einen Termin, um mehr über unsere fortschrittlichen Behandlungsmöglichkeiten zu erfahren.